日本歯周病学会
「専門医」が在籍
「治療→再発」のループから
抜け出しませんか?
- 「歯周病菌」に根本からアプローチ
- 保険適用の「再生治療」にも対応
- 可能な限り「抜歯を回避」
- 歯科衛生士「担当制」
~セカンドオピニオンにも対応~

~セカンドオピニオンにも対応~
歯周病で悩まれている方から、よく次のような声が寄せられます。
なぜ、このような状況になるのでしょうか?
その理由として、次の2つが挙げられます。

歯周病は患者さんの生活習慣ととても深く関係しています。
例えば、歯磨きの質や回数、喫煙の有無、睡眠不足など、日々の習慣が歯周病菌を活性化させていることがあるのです。
多くの患者さんがこのことを知らないために、常に歯周病リスクを抱えながら生活されている可能性があります。

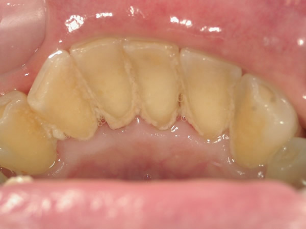
歯周病は感染症のため、歯垢や歯石を除去するだけでは状況が改善しないことがあります。
歯周病治療といえば、歯石や歯垢を除去するのが一般的です。
しかし歯周病の元は「歯周病菌」ですので、細菌にアプローチしなければ再発を繰り返してしまうリスクが高まります。つまり、目に見える歯石や歯垢と同じように、目には見えない細菌も除去する必要があるのです。

当院では、上記①②の状況を患者さん毎に把握し、ひとり一人のお口の状態に合わせた独自のプラグラムを立案します。初診の方はもちろん、もしこれまで治療を行ってもなかなか改善されなかったという方がいらっしゃれば、ぜひ一度「セカンドオピニオン」として当院にご相談ください。
当院では、日本歯周病学会「専門医」の資格を有する医師が在籍しております。
日本歯周病学会専門医とは、厚生労働省が認可した歯周病治療のスペシャリストに与えられる資格です。下記の条件を満たし始めて資格を取得できます。
上記の条件すべてを満たして始めて日本歯周病学会専門医試験の受験資格が得られ、専門医試験に合格して晴れて『日本歯周病学会専門医』になることができます。また、この資格は最新の歯周病に対する知識を確認するために5年ごとに資格を更新しなければなりません。

患者さんの状態を正確に把握するために、まずは「診査診断」を行います。
その結果をもとに、患者さん独自の治療プログラムを提案し、治療を始めていきます。

歯周病と似た症状で「咬合性外傷」があります。かみ合わせに異常があり、歯周病と同じような症状を伴うのですが、治療方法が異なるため、検査で精密な診断を行います。

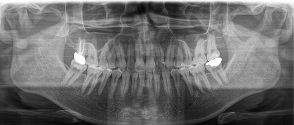
歯周ポケットの深さを測り、歯周病の進行度をチェックします。

歯周病は顎の骨を溶かしていく病気です。レントゲン撮影を行うことで、顎の骨の状態を確認します。

患者さんご自身にも現状を知っていただくために、お口の中を撮影します。歯並びや、かみ合わせ、磨き残しなど細かく記録し、治療後の変化等を評価します。

歯周病の原因は「歯周病菌」という細菌です。口内の細菌の量や種類を調べることで、悪影響を及ぼしそうな菌をチェックし、治療方針を立てます。

唾液を採取することで、お口の中にいる菌の数と種類を調べます。原因菌の検出に加えて、患者さん一人ひとりの歯周病やむし歯のリスクも把握できます。

当院では、歯周病の基本治療(歯石や歯石除去)に加えて、患者さんのお口の状態に合わせたプラスαの「オーダーメイドの治療」を行います。
例えば、口内の「細菌の徹底除去」や体自体の「免疫力向上」などです。
歯周病菌を除去する方法にはさまざまなものがあります。ここでは当院が活用している機器をご紹介します。

レーザーには殺菌効果があり、照射することで、ブラッシングだけでは届きにくい部位までお口の中を殺菌できます。
また、痛みが少なく、治療時間の短縮にもつながります。

また、マウスピースを用いて薬剤を注入する「3DS」という治療法もあります。お口に装着するだけで、歯周病菌へアプローチできるため、患者さんの負担も少なく、治療も短期間で終えられます。
さらに、副次的効果として口臭改善にも効果的です。

レーザーや3DSのように、外側から細菌にアプローチするだけではなく、内服によって細菌を除去する方法もあります。それが「ジスロマック」です。
抗生剤の一種で、服用した後の効果が長く持続し、劇的に歯周病菌を減らすことができます。
薬を服用するだけですので、患者さんの負担が少ないのも特徴です。
「プロバイオティクス」は細菌のバランスをコントロールしてくれる細菌を用いた治療法です。歯周病菌は、口内の善玉菌と悪玉菌のバランスが崩れ、悪玉菌が増殖することで作られます。「プロバイオティクス」は、細菌のバランスをコントロールしてくれるため、悪玉菌を抑制してくれる効果があります。また、免疫力向上の効果がある「ビタミンC」を点滴する「ビタミンC点滴療法」も取り入れています。



「歯がグラグラ」するのは歯周病が進行している証です。この症状は、歯周病菌によって歯を支える顎の骨が溶かされている時に起こります。ここまで症状が進行すると、医院によっては抜歯を宣告されることもあります。しかし当院では、症例によりますが抜歯をせずに歯を安定させる治療を行っています。それが「歯周組織再生療法」です。
治療法「エムドゲイン療法」、「リグロス療法(保険適用)」があります。

歯周組織の再生を促すたんぱく質の一種である「エムドゲイン・ゲル」という薬を使って、失った歯周組織を再生させる方法です。歯がなくなってしまった部分にこの薬を詰めて骨の再生を促します。

エムドゲイン同様、「リグロス」も骨の再生を促す薬剤です。
歯茎を切開し、歯垢・歯石の取り残しがないかをチェックしたうえで、リグロスを塗布し、歯茎を縫合すれば、あとは骨が再生されるのを待つだけです。
この「リグロス」は保険適応で行なえるため、治療費の負担を軽減することができます。

無事に治療が終わり、歯周病が改善されても歯茎の退縮によって歯が長くなったように見えることがあります。
その原因は、歯周病によって歯茎の骨が溶かされ、それに伴い歯茎も下がっていき、歯の露出部分が多くなるためです。
治療後の見た目が気になる患者さんには、「歯肉移植術」を行います。この術式は自分の歯茎を下がってしまった患部に移植するというものです。歯肉移植術は高度な技術が必要となるため、行っている医院は多くはありません。

歯周病治療の平均通院回数は約6~10回(個人差があり)だと言われています。
しかし、歯周病菌を治療で取り除いても、およそ2週間後には再増殖し、治療した部位が再発してしまうといったことが稀に起こります。そこで当院では、「歯周内科治療」と呼ばれる抗生剤を用いた治療法を導入しております。抗生剤が作用している期間にお口の中の歯石や歯垢を除去するため、治療時間の短縮につながり、再発防止にも効果的です。治療の回数は目安として1~2回となります。

「毎回担当者が変わると説明が面倒くさい」
「治療・メンテナンスは気心の知れた担当者にして欲しい」

そんな患者さんの希望に応えるために、当院では「歯科衛生士担当制」を導入しています。通院する度に、自分の症状を説明する必要がなくなるのはもちろん、あなたのお口の状態を把握しているため、より的確な処置やアドバイスをご提案できます。
また、信頼関係を築きやすくのも大きなメリットです。
さらに当院には、「予防専用ルーム」があります。治療を行う診察室とは異なり、リラックスした状態でケアを受けられるため、美容院やエステに通う感覚で通っていただけます。

当院では、歯周病の治療・予防の鍵は2つあると考えています。
1つは「歯科医院における治療・予防処置」。
そしてもう1つが「自宅でのセルフケア」です。
生活習慣と密接に関わる歯周病は、患者さんの協力なくして治療の精度向上はありません。そのため、当院では担当の歯科医師・担当の歯科衛生士・患者さんを1つの治療チームとして考えています。治療中、治療後にどういったケアを行えばよいのか。正しいやり方を私たちが丁寧にお伝えします。ぜひ、それを一緒に実践して大切な歯を守っていきましょう。
当院では、患者さんが抱えていらっしゃるお口のお悩みや疑問・不安などにお応えする機会を設けております。どんなことでも構いませんので、私たちにお話ししていただけたらと思います。
ご興味がある方は下記からお問い合わせください。
